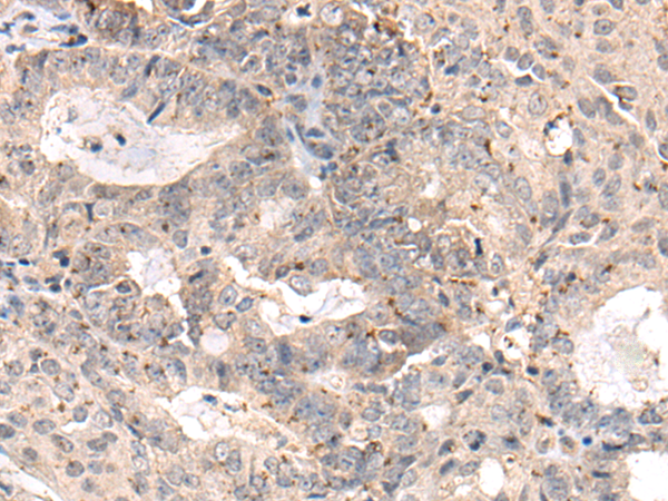
Antibodies

MEDAG rabbit polyclonal antibody

Applications IHC, WB
Reactivities Human, Mouse

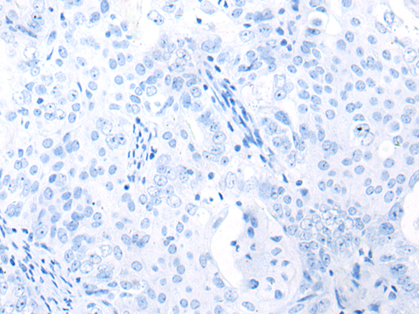
MEDAG rabbit polyclonal antibody

Applications IHC, WB
Reactivities Human, Mouse