DNAJC11 Rabbit Polyclonal Antibody

CAT#: TA370963S

DNAJC11 rabbit polyclonal antibody

Size: 25 ul 100 ul



Need it in bulk or conjugated?
Get a free quote

CNY 800.00

CNY 1280.00


货期*
2周

规格
    • 25 ul

Product images

推荐一起购买 (1)
beta Actin Mouse Monoclonal Antibody, Clone OTI1, Loading Control
    • 30 ul

CNY 300.00
CNY 1430.00

Specifications

Product Data
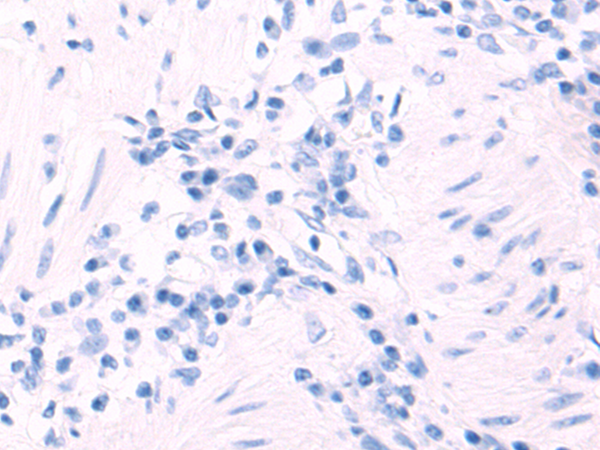
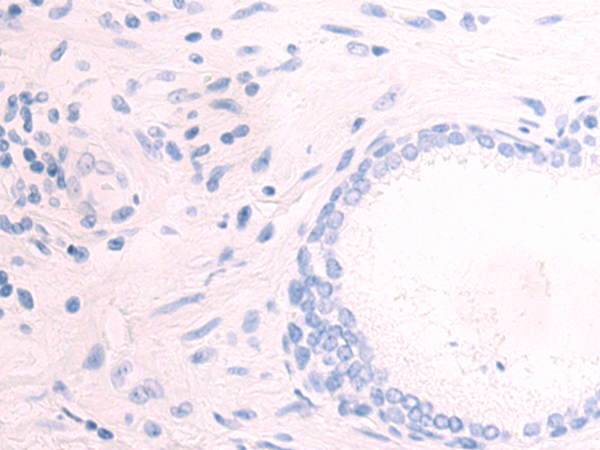
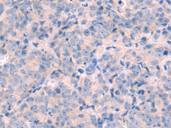
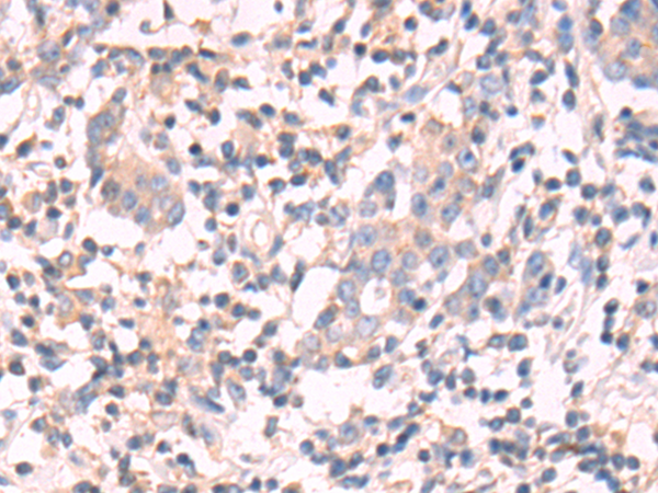
Applications IHC, WB
Recommend Dilution WB: 500-2000
WB positive control: K562 cell lysate
IHC: 50-100
Positive control: Human prostate cancer
Predicted cell location: Cytoplasm
Reactivity Human, Mouse
Host Rabbit
Clonality Polyclonal
Immunogen Fusion protein of human DNAJC11
Isotype IgG
Formulation pH7.4 PBS, 0.05% NaN3, 40% Glycerol
Purification Antigen affinity purification
Conjugation Unconjugated
Storage Condition Store at -20°C.
Predicted Protein Size 63 kDa
Gene Name DnaJ heat shock protein family (Hsp40) member C11
Background Required for mitochondrial inner membrane organization. Seems to function through its association with the MICOS complex and the mitochondrial outer membrane sorting assembly machinery (SAM) complex.
Synonyms dJ126A5.1; FLJ10737
Reference Data
*Delivery time may vary from web posted schedule. Occasional delays may occur due to unforeseen complexities in the preparation of your product. International customers may expect an additional 1-2 weeks in shipping.
Customer Reviews 
Loading...