RCOR3 Rabbit Polyclonal Antibody

CAT#: TA370625S

RCOR3 rabbit polyclonal antibody

Size: 25 ul 100 ul



Need it in bulk or conjugated?
Get a free quote

CNY 800.00

CNY 1280.00


货期*
2周

规格
    • 25 ul

Product images

推荐一起购买 (1)
beta Actin Mouse Monoclonal Antibody, Clone OTI1, Loading Control
    • 30 ul

CNY 300.00
CNY 1430.00

Specifications

Product Data
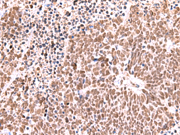
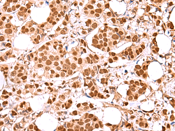
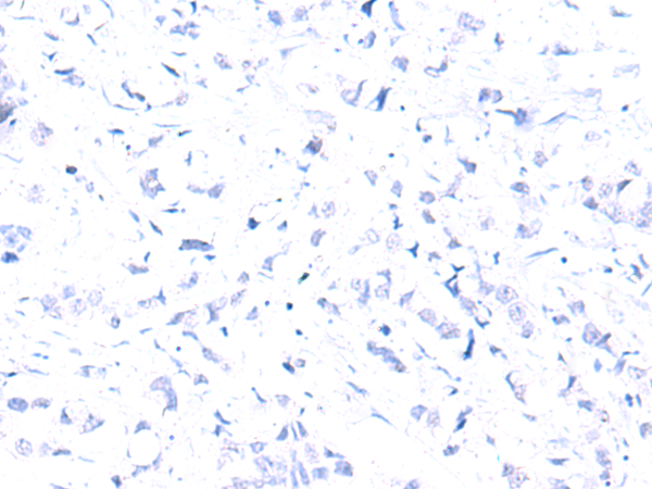
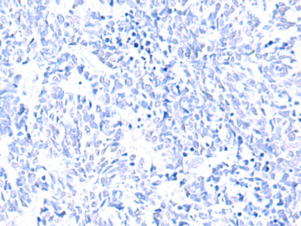
Applications IHC
Recommend Dilution IHC: 50-300
Positive control: Human breast cancer
Predicted cell location: Nucleus
Reactivity Human, Mouse
Host Rabbit
Clonality Polyclonal
Immunogen Fusion protein of human RCOR3
Isotype IgG
Formulation pH7.4 PBS, 0.05% NaN3, 40% Glycerol
Purification Antigen affinity purification
Conjugation Unconjugated
Storage Condition Store at -20°C.
Gene Name REST corepressor 3
Background May act as a component of a corepressor complex that represses transcription.
Synonyms FLJ10876; FLJ16298; KIAA1343; RP11-318L16.1
Reference Data
*Delivery time may vary from web posted schedule. Occasional delays may occur due to unforeseen complexities in the preparation of your product. International customers may expect an additional 1-2 weeks in shipping.
Customer Reviews 
Loading...