AKAP6 Rabbit Polyclonal Antibody

CAT#: TA322775

Anti-AKAP6 Rabbit Polyclonal Antibody

Size: 25 ul 100 ul



Need it in bulk or conjugated?
Get a free quote

CNY 1999.00

CNY 3280.00


货期*
2周

规格
    • 100 ul

Product images

推荐一起购买 (1)
beta Actin Mouse Monoclonal Antibody, Clone OTI1, Loading Control
    • 30 ul

CNY 300.00
CNY 1430.00

Specifications

Product Data
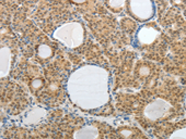
Applications IHC
Recommend Dilution IHC: 50-200
Positive control: Human thyroid cancer
Predicted cell location: Nucleus
Reactivity Human
Host Rabbit
Clonality Polyclonal
Immunogen Synthetic peptide corresponding to a region derived from 2249-2262 amino acids of human A kinase (PRKA) anchor protein 6
Isotype IgG
Formulation PBS pH7.3, 0.05% NaN3, 50% glycerol
Concentration lot specific
Purification Antigen affinity purification
Conjugation Unconjugated
Storage Condition Store at -20°C as received.
Gene Name A-kinase anchoring protein 6
Background The A-kinase anchor proteins (AKAPs) are a group of structurally diverse proteins; which have the common function of binding to the regulatory subunit of protein kinase A (PKA) and confining the holoenzyme to discrete locations within the cell. This gene encodes a member of the AKAP family. The encoded protein is highly expressed in various brain regions and cardiac and skeletal muscle. It is specifically localized to the sarcoplasmic reticulum and nuclear membrane; and is involved in anchoring PKA to the nuclear membrane or sarcoplasmic reticulum.
Synonyms ADAP6; ADAP100; AKAP100; mAKAP; PRKA6
Reference Data
Protein Families Druggable Genome
*Delivery time may vary from web posted schedule. Occasional delays may occur due to unforeseen complexities in the preparation of your product. International customers may expect an additional 1-2 weeks in shipping.
Customer Reviews 
Loading...